12岁女孩发热1天左肺全白!医生提醒:警惕这个隐形杀手
发布日期:2025-11-30 01:22 点击次数:175
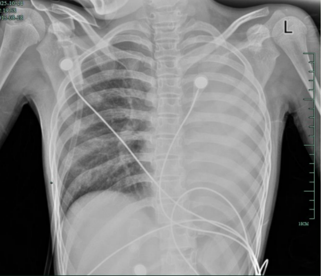
孩子感冒咳嗽看似常见,12岁女孩笑笑(化名)的经历却让人感到后怕——仅发热1天,左肺就变成了“白肺”,呼吸急促到无法平躺,血氧饱和度勉强维持在90%左右,情况十分危急!

治疗前,左肺呈“白肺”状态 医院供图
在浙大四院儿科等多学科团队的努力下,笑笑已经转危为安。不过这次来势汹汹的急症背后,藏着一种容易被忽视的急性重症呼吸道疾病——塑型性支气管炎。




来源:潮新闻
下一篇:“晚明四家”董其昌楷书《心经》
